Anemia - Atlas patologii świń

Gdzie: inne
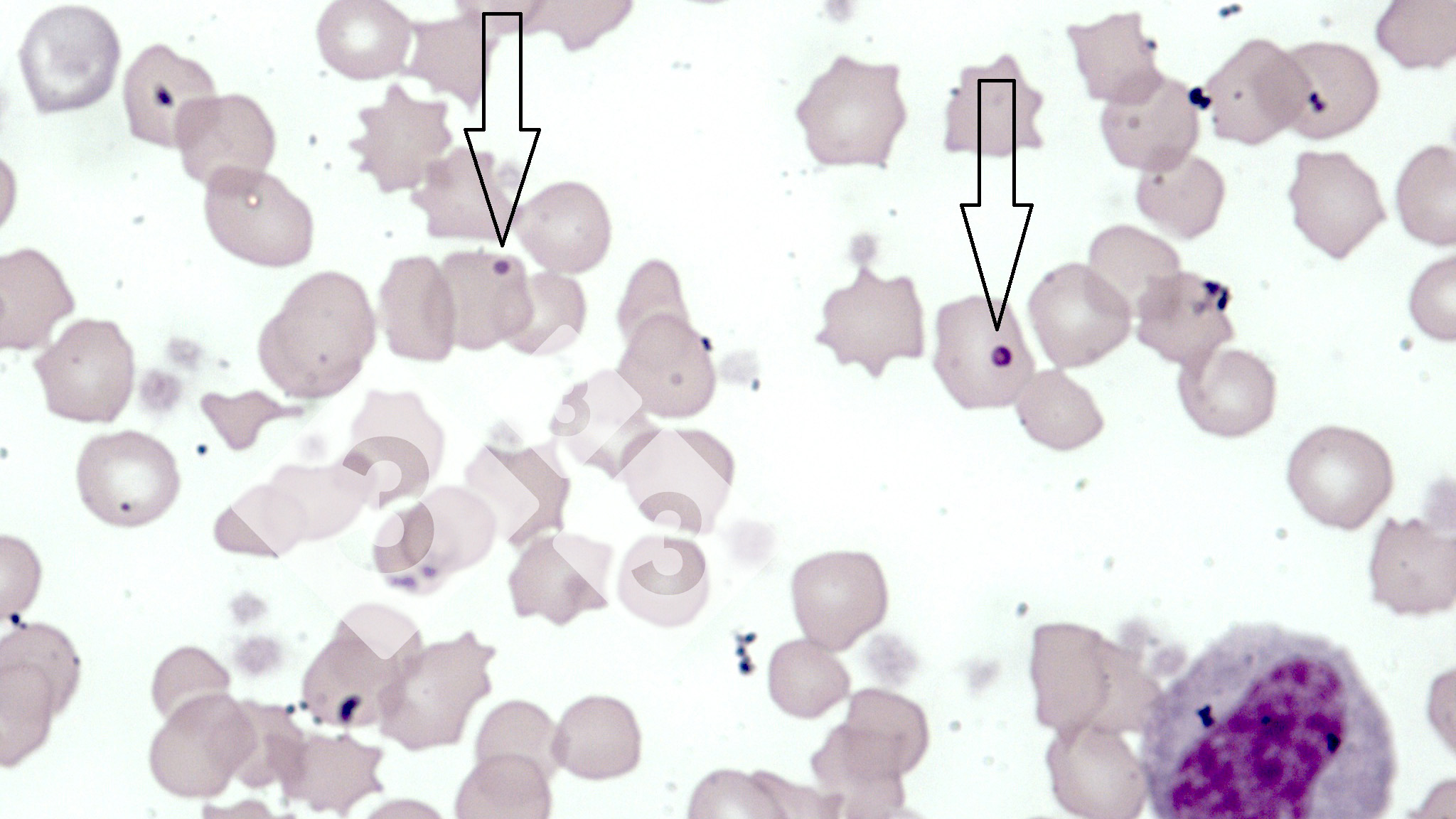
Prawdopodobne przyczyny: Mycoplasma suis
Anemia została wywołana przez Mycoplasma suis (wcześniej znana jako Eperythrozoon). Chore loszki są posmutniałe, chude i blade, mają niewiele siary i mleka. Niedokrwistość u świń może być potwierdzona badaniem wnętrza powieki, która jest wtedy blada i biała. Rozmaz krwi może zostać utrwalony w metanolu a następnie wybarwiony rutynowymi barwnikami, jak na przykład Giemsy. Zazwyczaj w przypadku infekcji Mycoplasma suis, liczba erytrocytów jest niska, około 4,2 do 5,5 x 10 6 komórek na mm 3 , w stosunku do sugerowanej normy w zakresie 5,6 do 9,5 x 10 6 komórek na mm 3. Choroba ta występuje sporadycznie w grupie świń, gdzie igły, strzykawki i sprzęt jest używany między różnymi świniami. Może to spowodować rozprzestrzenienie się infekcji z jednej zainfekowanej grupy świń do innej, jak np. ze starych zwierząt do nowych loszek.
Cotygodniowy newsletter podsumowujący najnowsze informacje z 3trzy3.pl
Zaloguj się i zapisz do subskrypcji












































































































































































































































